呼吸器内科
呼吸器内科

発作的にゼーゼーヒューヒューといった音(喘鳴)がして息苦しくなるとともに、せきや痰(たん)が出る症状を不定期に繰り返す病気です。正式には気管支喘息といい、夜間や早朝に出やすいのが特徴です。
難しく言うと「気道の慢性炎症を本態とし,臨床症状として変動性を持った気道狭窄(喘鳴,呼吸困難)や咳で特徴付けられる疾患」と定義づけられています。
慢性的に炎症を起こしている気管が何らかの刺激で発作的に狭くなることによって喘息の悪化を引き起こし咳や痰が出てきます。原因となる刺激にはチリやダニなどのハウスダスト、タバコの煙、カビ、ストレスなどさまざまですが、原因が分からないこともあります。生活の中で可能な限り原因除去を試みることは重要で、スギ花粉やダニが原因とされる場合には減感作療法(舌下免疫療法)も選択肢となります。
喘息の診断には専門的な機器を用いて診断を行いますが、治療の柱は吸入ステロイド薬になります。ステロイドと聞くと抵抗のある方もいらっしゃるかもしれませんが、μg(マイクログラム)単位という微量でかつ気道表面に散布されるため体内に吸収される量はわずかとされています。
妊婦さんでも喘息の治療は重要で吸入ステロイド薬は問題なく使用できます。また必要に応じてステロイドの全身投与(注射や内服)も躊躇なく行います。喘息発作の悪影響のほうが大きいからです。
喘息発作が起きれば即効性のある気管支拡張薬の吸入やステロイドの全身投与で対応しますが、重要なのは喘息が安定し症状がない時も慢性的に炎症が持続していることです。良くなったからと治療や通院をやめてしまうと、更に重篤な発作を起こしてしまい、入院が必要となったり場合によっては生命の危機に直面することもあります。症状がないときにこそ治療を続けることこそが普段の生活の質を維持するためにとても大事です。当院では患者さんの生活や状況にあった治療をご相談しながら決めていきます。
最近では重症喘息の患者さんには生物学的製剤(抗体製剤)といって、アレルギーを起こす免疫に直接作用しアレルギー反応の進行を抑える薬が多く出てきています。薬によって異なりますが2週~2ヵ月に1回、皮下注射で投与します。アレルギーを引き起こす原因物質を分子レベルで狙い撃ちするため重症喘息に大きな効果を上げており、当院でも対応しております。
最近よく聞く咳喘息という用語ですが、風邪の後の長引く咳・止まらない咳はこの病気の可能性があります。
喘息のように各種刺激に反応しアレルギー性の気道の炎症により慢性的な咳が続きます。風邪をひいたり、外的刺激(ハウスダスト、季節の変わり目)等がきっかけで咳が持続し生活の質を落とします。
喘息のようにヒューヒュー、ゼーゼーというような喘鳴を伴わないことが特徴で息苦しさもほとんどありません。正常と気管支喘息の中間といったところでしょうか。専門の機器を用いて診断を行い、喘息のように気管支拡張薬やステロイドの吸入を用いて適切な治療を開始することが重要です。
炎症を繰り返し咳喘息の3割程度が気管支喘息に移行するとも言われておりますので、自己判断で薬を中止せず中止する時期は医師と相談し慎重に決めていくのが良いと思います。

慢性閉塞性肺疾患といい、かつて慢性気管支炎と呼ばれていた病気の総称です。有害物質に長期間さらされて起きる気管支や肺の炎症疾患で、原因の8割は喫煙とされます。
中高年に多く、気管支では炎症が起きて細くなり、肺ではブドウの房状の肺胞が潰れ、酸素の取り込みや二酸化炭素の排出という肺の基本的かつ重要な機能が低下します。このため息切れがしやすく、慢性的にせきや痰(たん)が出ます。
必須の治療は禁煙です。長年の喫煙によるタバコのガスや有害物質によって肺が壊れてしまいます。ボロボロになってしまった肺は元には戻らないため、いかに早く禁煙するかが重要になります。
呼吸訓練や栄養療法、運動療法を併用することもあります。薬物療法の中心は気管支拡張薬で、重症の場合は吸入ステロイド薬も用いますがあくまでも症状の進行を和らげる治療であり、禁煙以外は根本的な治療にはなりません。ただ中には喘息を合併している患者さんもいるため適切な検査を行うことが重要です。
進行すると呼吸苦のため動けなくなったり、低酸素血症のため酸素ボンベを持って生活する必要が出てきたります。その苦しさは「陸で溺れる苦しさ」と言われ、形容し難い苦しさを訴える患者様も多くいます。
早めに受診していただきご相談をしながら治療を決めていきます。検査には肺機能検査やレントゲン、CT検査なども行うこともあります。

なんとなく皆さん聞いたことがあるかもしれません。肺炎なのに抗生剤を使わないのかと聞かれることもありますが、いわゆる抗生剤が効く細菌が原因の肺炎ではありません。
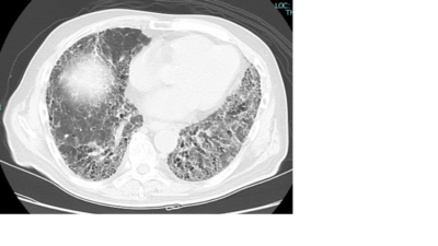
ざっくりいうと慢性的な炎症に伴い肺が固くなる(線維化)病気です。
肺は風船のように伸び縮みをし、スポンジのように柔らかいのですが、これが固くなり伸び縮みしなくなるイメージです。酸素の取り込みが低下し、肺が固くなるため通常よりも呼吸をするのに大きな力を要します。そのため消耗してしまい体重減少をきたす方もいらっしゃいます。
進行すると在宅酸素療法と言って家でも酸素吸入をしたり、外出時に酸素ボンベを持ち歩く必要があります。治癒は困難で一部を除き基本的にはずっと付き合っていき進行を遅らせることが主な目的になります。また肺癌の合併も多いとされており定期的な画像検査が必要です。
間質性肺炎を引き起こす原因としては
・特発性(原因がはっきりしない)
・リウマチ・膠原病(過剰な自己免疫が肺を攻撃して炎症を起こしてしまう)
・薬剤性
などがあります。採血検査・CT・肺機能検査などで間質性肺炎を引き起こす原因がないかを探っていきます。
特に最近では慢性過敏性肺炎といってカビやほこりなどの微細な粉塵の吸入が原因となり、肺に慢性的なアレルギー性炎症を起こす病気が注目されています。抗原によるアレルギー性慢性炎症が間質性肺炎を引き起こすため、適切な検査や抗原回避が重要とされています。住宅や職業に関わる抗原が多いとされており住宅関連ではカビや加湿器、古い木造家屋、エアコンを、トリ関連では鳥のフン、羽毛ふとん、ダウンジャケットなどが原因の可能性がありお話を聞きながら適宜検査を行っています。
治療としては抗炎症薬・抗線維化薬を用いることがありますが診断とその経過が重要です。必要に応じて大学病院等へご紹介も行っています。

結核菌という細菌に感染して起こります。結核菌はせきなどで飛沫感染しますので、人に感染させる可能性のある結核患者さんは隔離入院が義務付けられています。ただ現在は画像検査も発展してきていますので比較的初期で見つかり外来治療している方が多いです。
感染しても結核になる人は10%程度で、多くの人は免疫ができています。ただ、高齢者で抵抗力が弱ったりすると発症する危険性が増します。結核菌はリンパ節や腸、骨などにも感染します。
かつては国民病とまで言われていた結核ですが、複数の薬剤を用いた化学療法の普及で激減しました。とはいえ、最近は年間患数は横ばいで、結核に対する認知度が下がったため学校などでの集団感染も起きています。疑って検査をしなければ診断が難しい疾患の一つです。
全身倦怠感や咳、痰、微熱が続く、発汗、体重減少などの症状が出て死亡に至ることもあります。治療は長期に及びますが、服薬をきちんと続ければ、ほぼ治る病気です。ただし、途中で服薬をやめると薬剤耐性結核となって薬が効かなくなってしまいますので、根気強く治療を行いその後の経過観察も必要になります。
非結核性抗酸菌(NTM: nontuberculous mycobacteria)は結核菌とらい菌以外の抗酸菌で、現在200種類以上報告されています。肺に慢性呼吸器感染症を引き起こすことが多く、現在罹患率が上昇し、中高年の女性を中心に患者数が増加しています。
肺MAC(Mycobacterium avium complex)症(M. avium菌とM. intracellulare菌の総称)が約9割を占めますが、肺M. Abscessus症も近年増加傾向にあり治療が難しいことから今後の課題とされています。
慢性疾患であり、軽症で経過観察のみが必要な方から、進行性で積極的な治療を要する方まで経過は様々です。
気管支拡張症や慢性気管支炎と言われている患者さんの中には、この疾患に罹患している場合もあります。診断や治療開始の判断には呼吸器専門医の受診が必要で年単位の長期の通院が必要となります。当院では病院と連携しながら診断、治療まで行っています。
細菌やウイルスに感染して肺に炎症を起こす病気です。日本人の病気による死亡数でがん、心疾患に次いで第3位です。肺炎で最も多いのが肺炎球菌によるもので、インフルエンザの合併症としてもよく見られます。
発熱やせき、痰(たん)、胸の痛み、息切れなどのほか、疲れやすかったり、発汗、腹痛、吐き気などが出たりします。重症の場合は呼吸困難を伴います。ただ、高齢者の場合、初期には症状を自覚しないこともあります。
細菌性肺炎
治療は病原微生物を調べたうえで、抗菌薬を用いますが、日ごろからバランスの良い栄養摂取に務めるとともに、適度な運動、タバコを吸っている人は禁煙を心がけるようにしてください。インフルエンザワクチンや肺炎球菌ワクチンの接種も予防に効果的です。
肺炎球菌性肺炎は頻度も高く、重症化すると致命的になりうる肺炎です。65歳以上の方や脾臓摘出後の方は肺炎球菌ワクチンを受けるようにお願いいたします。
ウイルス性肺炎
インフルエンザやコロナウイルスなど原因がすぐに特定でき治療薬があるウイルスは非常に稀です。原因がはっきりしないウイルス感染症は基本的には支持療法といって症状に応じて対応し、自身の免疫で治るのを手助けするくらいしかありません。抗生剤は効果はありません。
しかしインフルエンザウイルス感染後に二次性に細菌が感染し重症化することもありますので慎重に熱や状態の経過を見ていくことは重要です。
胸の内側の胸膜に包まれた胸膜腔にたまる液のことです。胸膜腔には常時少量の胸水がたまっていますが、毛細血管から水分がしみ出しやすくなったり、血液中のたんぱく質などが減ったりすると、その量が増えます。
前者を滲出性胸水といい、細菌性肺炎や結核性胸膜炎、膠原病などで起こります。後者は漏出性胸水と呼ばれ、最も多くみられるのが心不全で、肝硬変やネフローゼ症候群などでも胸水がたまります。
胸水がたまると胸の痛みや息切れ、せき、しゃっくりなどが出ます。胸水を取り除くには胸膜腔内に管(ドレーン)を入れて吸い出す方法などがありますが、根本的には原因となっている病気の原因検索と根本的な治療が必要です。
肺癌とはその名の通り肺にできる癌です。昔は喫煙歴も高く肺癌になる方の多くが喫煙者でしたが、現在は非喫煙者の肺癌も増えおり癌の死因の第一位を維持しています。肺自体に痛みはないため自覚症状が出づらく、症状が出てきたときには進行してしまっていることも一因と思われます。症状としては咳・血痰、呼吸困難等様々です。
早期肺癌に対しては手術療法が第一選択となります。進行期肺癌に対しては化学療法を中心として放射線療法を組み合わせることもあります。ただ2014年にオプジーボという免疫チェックポイント阻害剤が登場してから、ここ約10年で進行期肺癌の治療は大きく変化しており患者さんのプロファイルに適した治療を選ぶようになってきています。
肺癌の発見には定期的な健診でのレントゲンは必須ですが検出能力に限界もありますので、状況によってCTで精査を行うこともあります。
Q1. 咳がどれくらい続いたら受診すべきですか?
A. 目安は2〜3週間以上続く場合です。発熱・体重減少・血痰・息切れ・胸痛・声がれ・高齢の喫煙歴など、重大な病気が隠れている可能性のある危険サインがあるときは早めの受診を推奨します。
(Irwin RS et al., Chest. 2018/日本呼吸器学会, 咳嗽・喀痰GL 2025)
Q2. 痰に血が混じりました。危険ですか?
A. 肺炎、気管支拡張症、肺がんなど重い病気の可能性もあります。少量でも繰り返すときや持続する場合は、重大な病気が隠れている可能性のある危険サインのひとつなので、早急に受診してください。
(Irwin RS et al., Chest. 2018/日本呼吸器学会, 咳嗽・喀痰GL 2025)
Q3. COPD(慢性閉塞性肺疾患)の初期症状と受診の目安は?
A. 喫煙歴がある方で、階段での息切れ、朝の咳・痰が増える、風邪が長引くなどの症状がある場合は、症状が軽くても一度、肺機能検査をおすすめします。
(日本呼吸器学会, COPD GL 2023/日本呼吸器学会, 咳嗽・喀痰GL 2025)
Q4. 咳喘息と(気管支)喘息は何が違いますか?
A. 咳喘息は咳のみが続き、喘鳴・呼吸困難は目立ちません。放置すると喘息に移行する場合があるため、早期治療が大切です。
(日本呼吸器学会, 咳嗽・喀痰GL 2025/GINA 2024)
Q5. 胸部CTはいつ必要ですか?
A. レントゲンで判断が難しい場合や、長引く咳・血痰・体重減少など重大な病気が隠れている可能性のある危険サインがあるとき、また間質性肺炎などの疑いがあるときに有用です。レントゲンでは写らない陰影も捉えることができます。
(Irwin RS et al., Chest. 2018/日本呼吸器学会, 咳嗽・喀痰GL 2025)
Q6. 受診前に用意しておくと良いものは?
A. お薬手帳(他院での処方歴)、発症時期や経過のメモ、市販薬の種類等、分かる範囲で準備をお願いします。マイナカードでは1〜2ヶ月内の投薬内容は見られませんのでご注意ください。